제가 25년 1월 말에 소파를 들다가 뜨끔하는 증상이 있어서 MRI를 찍었는데 심각한 부위가 요추 5번, 천추 1번이 디스크가 흘러 내렸죠. 방사통의 강도가 점점 강해졌죠. 허리 통증부터 허벅지, 정강이 통증, 발바닥 저림까지 방사통이 심해지고 10월이 됐을 때는 진짜 힘들었어요. 제일 힘든 게 앉는 거, 그리고 10분 운전하기가 힘들었어요. 그러다 보니까 나도 모르게 통증 때문에 허리가 구부러지고 만사가 귀찮은 증상이 생기게 됐죠. 최악이 된 게 10월 중순부터 11월 그때까지 악화 됐었어요.
25년 1월에 근처 양방병원에 가게 됐습니다. 양방 원장님이 이 부분은 수술할 단계는 아니고 신경 차단 주사를 맞으면서 치료를 병행하자고 하셔서 2월 달에 한 번, 3월 달에 한 번, 9월 말까지 신경주사를 총 6회를 맞게 됐고요. 신경주사를 맞고 나서도 별 효과가 없었습니다. 그래서 ‘아 이렇게 효과가 없나’ 해서 그 양방병원 원장님이 저 같은 상태는 수술을 하는 게 좋겠다고 권장을 하더라고요. 주사효과 별로 없었습니다. 2~3일 정도면 다시 증상이 나타났고요. 그래서 제가 9월말부터는 양방병원을 안 갔어요.
수술 권유가 맞는지 한번 더 확인하고자 대학병원에 가서 MRI 찍은 걸 가지고 소견을 여쭤보러 갔는데 교수님이 차에 비유를 하시더라고요. 디스크가 오래 되다 보니 퇴행성으로 된 거다. 그래서 잘 가꾸고 좀 오래 쓰도록 하는데 결국 ‘나중에는 수술을 할 가능성이 높다’ 이렇게 얘기를 하시더라고요.
맞습니다. 한 4개월 정도 신전운동을 했죠. 유튜브에 나온 신전운동을 했었는데 신전운동을 하니까 허리 근육이 빳빳하게 굳어 있었어요. 허리를 쓰지 말라고 하니까 세수할 때도 허리를 숙이지 않고 모든 자세를 취할 때 허리를 숙이지 않으려다 보니까 시간이 지나면 지날수록 허리를 안 쓰니까 이게 허리가 경직돼 갖고 단단해지는 그런 느낌들이 있었었어요. 신전운동과 허리 구부리지 않기 하려고 노력 많이 했죠. 그런데도 그렇게 효과가 극대화된 건 없었습니다. 오히려 좋지 않았습니다. 관리 잘한다고 생각했어요. 여러 매체, 주변에서 듣는 얘기, 유튜브에 나오는 거 이것도 해보고 저것도 해봤는데 그게 오히려 저한테는 역효과를 가져온 것 같아요.
몸이 틀어졌다는 걸 느낀 부분이 뭐냐면 제 주변에 있는 가족이 봤을 때 어깨 높이가 달라졌다는 걸 얘기해서 그렇게 인식을 하게 됐죠. 허리를 안 쓰고 다른 쪽에 힘을 쓰다 보니까 신전자세를 꼿꼿이 하고 있고 걸을 때도 이렇게 하고 그리고 아픈 상태에서도 신전자세를 오래 하니 그 부분 때문에 경직돼서 어깨 쪽으로도 틀어지고 굳는 현상이 나타나지 않았을까 그렇게 생각이 되네요. 어깨 쪽에 뭉친 근육들이 누구를 안고 있는 것 같다고 얘기를 해야 되나, 누구를 목마 태우고 있다는 느낌, 그런 경직된 부분들이 많아서 힘들었습니다. 스스로는 잘 모르는데 주위에서 어깨 높이가 달라진 걸 얘기해 주니까 거울을 보니까 어깨 높이가 달라졌다는 걸 피부로 와 닿은 거죠.
작년 10월에 왼쪽 팔 저림 현상까지 나타나서 시술 할 생각을 했었습니다.
수술을 하기는 싫어서 고민을 많이 하던 끝에 회사 동료분이 본인이 모커리한방병원을 다니면서 봉침, 한약, 추나 이렇게 병행을 하면서 목디스크가 완치됐다고 하더라고요. 그래서 저한테 적극적으로 ‘모커리 가봐라’ 그런데 저는 한방병원에 대해서 ‘과연 낫겠어?’ 하는 의구심이 많이 들었고요. 그래서 한방치료를 좀 무시했죠. 그런데 결정적으로는 치료후기도 봤고요. 표현이 좀 그렇습니다마는 맨 처음에는 ‘이거 치료후기 짜고 찍는 거 아니야?’ 그런 생각도 있었는데 근데 영상을 보면 입을 맞추기는 어려울 것 같다 그런 생각이 있었고 그래서 사기는 아닌 것 같고 진짜인가 보다 이렇게 판단을 했죠. 그리고 양방병원에서 낫지를 않으니까 모커리 가서 한번 치료 해보자. 모커리 와서 한 2주 정도 입원을 해보고 차도가 없으면 양방병원 가서 시술이나 어떤 다른 방법을 하려고 했고요. 11월 12일 날 모커리에서 상담을 받고 12월 15일에 입원을 하게 된 거죠.
아내가 한방병원에 가는 부분에 대해 반대를 했죠. 아내도 ‘양방병원 가서 시술을 하지. 왜 한방병원에 가냐’ 저한테 시술하라고 그랬습니다. 왜 시술도 안 해보고 한방병원 가냐고 얘기를 했었죠. 그래서 제가 ‘당신이 아파 보지 않아서 모른다고. 아파 본 사람만 그 고통을 안다’고 그랬죠. 우선 내가 결정 내린 거니까 모커리 가서 한번 치료를 받고 안 되면 양방병원 가서 시술을 하든 뭐든 하겠다 이렇게 한 겁니다.
허리디스크 환자분들 중 소위 보존 치료를 한다고 수개월 동안 신경 주사 맞고, 신전 운동하고, 허리 구부리지 않기 하고 걷기 운동하면서 버티고 있는데, 6개월, 1년이 넘도록 방사통이 별로 좋아지지 않거나 방사통이 좋아지기는커녕 오히려 더 악화되는 분들은 반드시 이 영상을 자세히 보고 무엇이 문제라서 낫지 않는 건지, 관리는 어떻게 해야 하고 어떤 운동을 어떻게 해야 하는지, 수술 없이 좋아지고 싶으면 어떤 치료를 받아야 하는 건지 자세히 들어보시길 바랍니다.
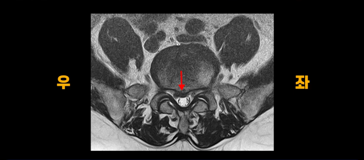
우선 이분 MRI를 잠깐 볼까요? 세 마디의 퇴행성 디스크가 있고

5번 1번이 파열되어 디스크 수핵이 밑으로 약간 흘러내려 있습니다.

단면을 보면 중앙 오른쪽으로 밀려 나왔는데 파열이 아주 심하지는 않습니다.

아주 심한 상태가 아니라서 방사통만 있지 마비, 즉 힘 빠짐은 없는 상태입니다. 이 정도의 크게 심하지 않은 디스크 탈출 정도라면 신경 주사 맞고 버티다 보면 좋아질 수도 있지만, 이 환자분은 보존한 지 10개월 후에 증상이 더 나빠집니다. 왜 그럴까요? 신경 주사도 전혀 듣질 않는데 어떻게 해야 수술 없이 좋아질 수 있을까요? 지금부터 설명해 드립니다.
이분은 1월에 무거운 걸 들다가 허리디스크가 파열되고 방사통 증상이 나타난 후 10개월 동안 많은 허리디스크 환자가 하는 전형적인 보존 치료 방법을 따라 합니다. 신경 주사, 신전 운동, 허리 구부리지 않기, 걷기 운동 등 이런 방법들을 열심히 하면서 무려 10개월의 시간을 보내지만, 방사통은 오히려 더 악화됩니다. 그 이유는 뭘까요? 저희가 수많은 설명 영상, 치료 후기 영상을 통해서 방사통으로 아픈 사람들이 몇 달씩 버티다 보면 몸이 다 틀어져 버린다고 말씀드렸습니다. 몸이 뒤틀리게 되면 한 달 정도면 가라앉아야 할 신경의 염증이 가라앉지 않고 흡수가 되어야 할 밀려 나온 디스크 수핵도 흡수가 안 된다고 설명해 드렸습니다. 다리 한쪽이 아프니까 안 아프려고 몸을 하루 종일 비틀고 있는데 거기다가 신전 운동하고 신전 자세 한다고 허리에 힘을 주고 있고, 허리를 구부리지 않으려고 하루 종일 허리를 뻣뻣하게 하고 있으니까 허리가 완전히 굳어버리면서 몸이 뒤틀리는 겁니다.
이분 X-ray 사진을 보시죠. 쇄골을 보면 어깨높이가 좌우가 완전히 달라져 있습니다.

몸이 완전히 틀어져 버린 겁니다. 이렇게 몸이 뒤틀리니까 보존 치료 10개월 후에는 한쪽 팔이 저리는 목디스크 증상까지 생기게 됩니다.
본인은 10개월간 보존 치료 열심히 잘했다고 생각했는데 결국은 다리 방사통은 더 심해지고 없던 목디스크 증상까지 생겼습니다. 허리와 골반 근육들이 경직되고 굳어버리면서 몸이 틀어지니까 보존 치료 백날 해봤자 좋아지질 않는데 신경이 눌려 있다는 데만 생각이 꽂혀있어서 최후의 수단으로 수술 받을 생각만 합니다. 이렇게 근육이 심하게 경직되고 굳어버리고 뒤틀리면 디스크에 가해지는 압력이 증가되어 수술 후에도 재파열 가능성이 높아집니다. 여러분이 주위에 척추 수술 후도 지속적으로 허리가 뻐근하면서 상태가 안 좋은 분들 보신다면 그건 바로 수술의 문제가 아니라 허리 근육 기능들이 전부 다 망가져 있기 때문에 신경을 풀어놔도 안 좋은 겁니다.
그럼 이런 환자들은 관리와 운동 및 치료를 어떻게 해야 할까요? 일단 허리에 부담을 주는 일들을 줄여야겠죠. 틈나는 대로 많이 누워서 쉬어주고 경직되고 굳고 뒤틀린 근육들을 풀어주는 운동을 가볍게 해야 합니다. 이 누워서 하는 3가지 운동이 바로 그런 목적의 운동이니까 아래 영상을 참고해 보시고 틈나는 대로 자주 해주시길 바랍니다.
디스크가 터진 지 이미 6개월이 넘었다면 이미 섬유륜은 어느 정도 아물었기 때문에 이 영상에서 하라고 하는 동작들 때문에 디스크가 더 찢어질까 봐 걱정하실 필요 없고, 이 3가지 운동을 조금씩 하다 보면 굳고 뭉친 근육들이 풀리면서 허리가 좀 더 편하고 좋다고 느낄 겁니다.
굳고 뭉치고 뒤틀린 허리, 골반 근육을 풀어주는 또 다른 대표적인 운동이 바로 걷기 운동이죠. 가볍게 걷다 보면 허리와 골반의 뭉치고 굳어 있는 근육들이 조금씩 풀립니다. 그래서 허리디스크 환자 중에 걸으면 시원하고 좋다고 하는 사람들이 많습니다. 그러나 굳은 근육이 풀릴 정도만 조금씩 걸어야 하는데, 대부분 어떻게 합니까? 가능하면 많이 걸으려고 합니다. 최소한 만 보 정도 목표로 삼고 이만 보를 걷는 다른 사람들도 있습니다. 이렇게 많이 걸으면 경직되고 굳어 있는 근육이 풀리기는커녕 더 굳고 뭉치게 됩니다. 그래서 걷기 운동 후 허리가 더 뻐근하고 아프다는 환자들을 봅니다. 허리디스크 운동은 허리 강화를 목적으로 한다는 아주 단편적인 생각으로 운동을 하니까 역효과가 나는 겁니다. 걷기 운동은 허리 강화를 위해 하는 운동이 아니고 허리와 골반의 굳고 뭉친 근육을 풀어주기 위해 하는 운동입니다. 허리 근육을 더 뭉치고 경직되게 만드는 강화 운동은 가능하면 안 하는 게 좋습니다. 그래서 5분, 10분 조금씩 굳고 뭉친 근육이 풀려서 시원하다고 느낄 정도로만 짧게 자주 걷는 게 훨씬 좋다는 걸 알아야 합니다. 이에 대한 자세한 내용은 아래 영상을 참고하시길 바랍니다.
그럼, 치료는 어떤 치료를 받아야 할까요? 굳고 뭉치고 뒤틀린 근육들을 가볍게 풀어주는 치료를 받아야 합니다 굳고 뭉친 근육을 풀어주는 치료는 어떤 치료든 좋습니다. 도수치료, 물리치료, 근육주사, 침 치료, 약침 치료, 봉침 치료, 추나요법 등등 수도 없이 많은데 주의할 점은 몸이 틀어져 있다고 강제로 교정하는 치료는 좋지 않습니다. 강제로 교정하기보다는 굳고 뭉치고 뒤틀린 근육을 부드럽게 풀어주는 게 좋습니다. 그런데 몸이 틀어질 정도로 심하게 근육이 굳어 있고 뒤틀려 있다면 근육을 치료해서 풀어놔도 몇 시간 내에 원래 상태로 되돌아갑니다. 그래서 참을성과 인내심을 가지고 수십 번 반복해서 치료하는 게 좋습니다.
보존 기간이 길어서 근육이 심하게 굳고 뒤틀림이 심할수록 근육을 치료해서 뭉친 게 풀려도 몇 시간 내에 원래 상태로 돌아갈 확률이 높으므로 몇 달 정도의 시간을 두고 반복해서 치료 받거나 빠른 치료를 원한다면 쉬면서 입원 치료를 받는 게 좋습니다. 저희 모커리는 이런 환자들을 4주 정도 입원시켜 놓고 침, 약침, 봉침, 이완추나, 도수치료, 물리치료 등을 하루에 4번 이상 반복적으로 실시하여 굳어 있고 뭉쳐있는 근육들을 풀어줍니다. 굳고 뭉친 근육이 풀려서 몸이 바르게 되면 신경의 염증이 줄어들면서 오랜 기간 좋아지지 않았던 방사통이 좋아지는 겁니다. 이 환자분은 3주 간의 입원 치료를 받으셨는데요. 10개월간 열심히 보존 치료와 관리를 했는데도 심하게 악화된 방사통이 3주 만에 80% 이상 좋아질 수 있을까요? 이분의 치료 후 결과가 궁금하시다면 아래 영상을 꼭 보시길 바랍니다.
모커리 허리디스크 ABCDE 한·양방 협진 재활치료법은 수술 없이 허리디스크를 치료하는 모커리 고유의 비수술 치료방법입니다. 디스크 통증은 물론 수술을 권유 받을 정도의 마비와 힘 빠짐을 동반한 디스크 파열 등의 중증 허리디스크를 수술 없이 ABCDE 허리디스크 비수술 치료법으로 치료하고 있습니다. 모커리는 심하게 파열된 허리디스크 뿐 아니라 수술 후 재발한 허리디스크, 척추유합술 후 재발한 허리디스크 등의 어려운 척추 질환을 비수술로 치료하고 있으며, 이러한 ABCDE 치료법의 효과를 과학적, 객관적으로 검증하여 해외 유명학회 및 학술지 등에 지속적으로 발표하고 있습니다.

보다 많은 환자분들과 건강정보를 공유하고자 개방형 게시판으로 건강상담을 운영하고 있습니다. 목과 허리 통증•디스크•협착증•교통사고•어깨•무릎 등 궁금하신 질문을 남겨주시면 전문의가 최대한 자세하게 답변 드립니다.
| 제목 | |||||||||
|---|---|---|---|---|---|---|---|---|---|
|
|||||||||
|
|||||||||
|
|||||||||
|
|||||||||